Real Patient Cases
Real Results, Real Transformations
Every smile tells a story. Discover real transformations achieved through expert care, advanced techniques, and a refined dental experience with
Dr. Nidhal Sultan.
Happy Client
5-Star Reviews
Consultations
Every smile tells a story. Discover real transformations achieved through expert care, advanced techniques, and a refined dental experience with Dr. Nidhal Sultan.
Happy Client
5-Star Reviews
Consultations
Our Filter
Filter By Smile Solution
Browse real cases by smile solution and find the approach that fits your goals.
- All
- Cosmetic
- Orthodontics
- Dental Implants
- Periodontics
- Restorative

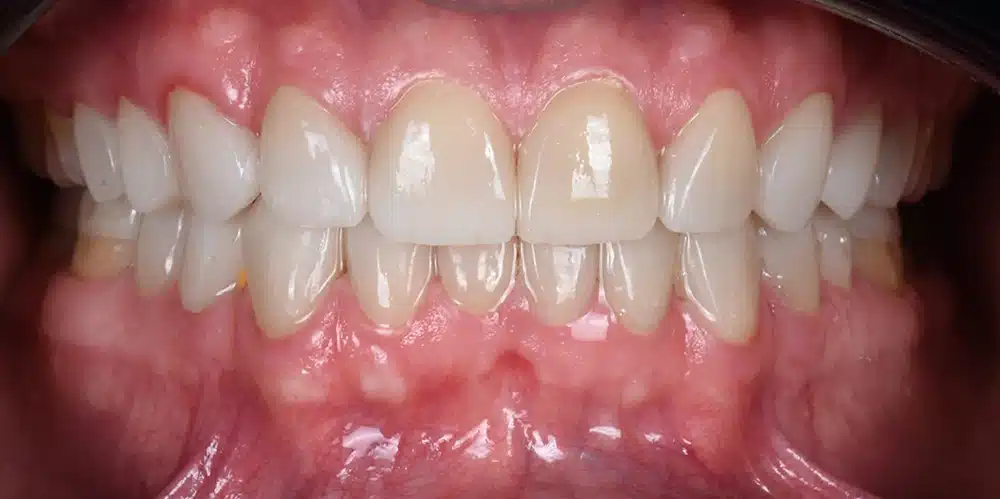
Upper Veneers
Seamless shade matching for natural harmony

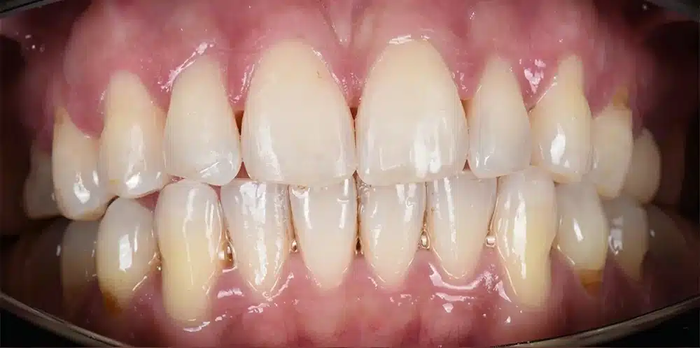
3D E-max Veneers
Ultra-natural veneers with lifelike texture

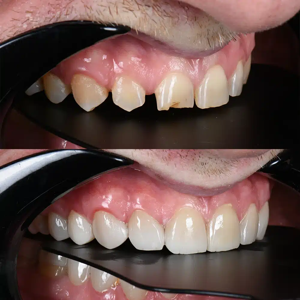
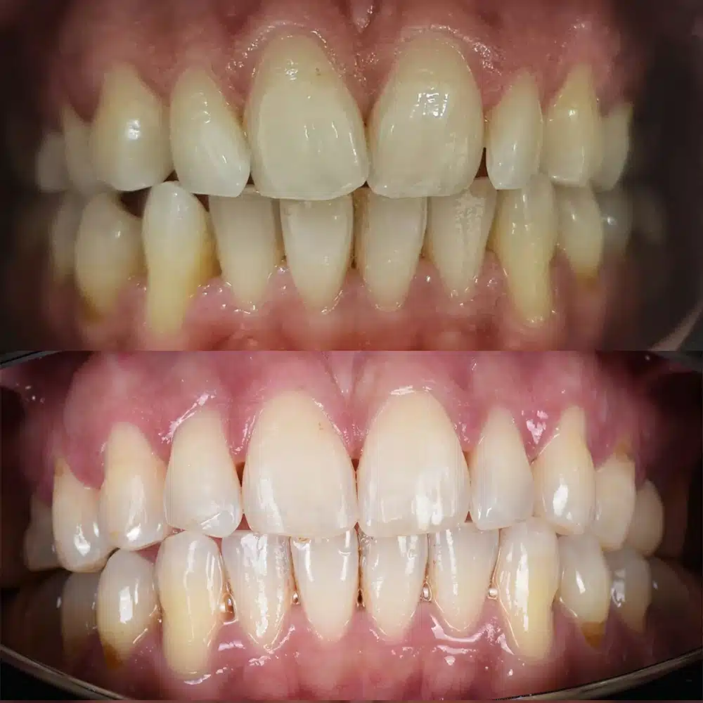
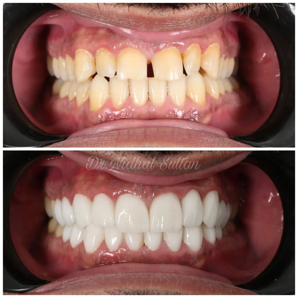
Cosmetic Veneers
Shape refinement, gap closure, improved shade

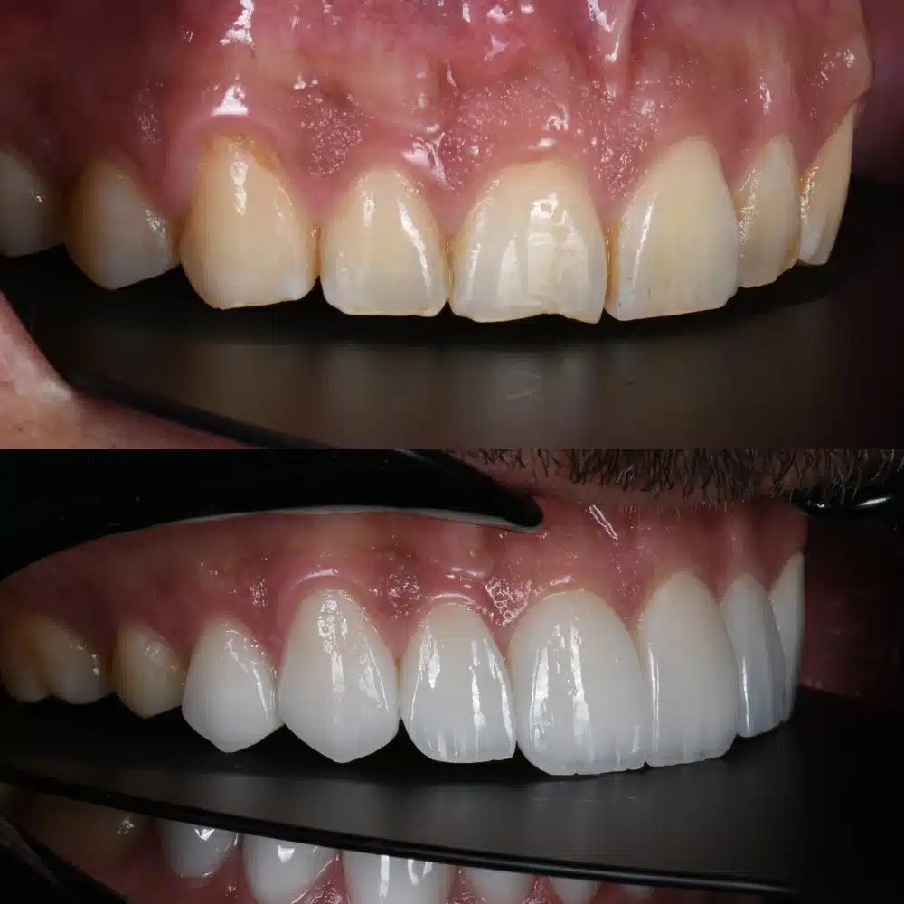
Cosmetic Veneers
Replacing dark restorations with radiant veneers

Cosmetic Veneers
Replacing dark restorations with radiant veneers

Cosmetic Veneers
Replacing dark restorations with radiant veneers

Full Smile Makeover
Complete upper and lower smile enhancement

Veneers & Smile Line Correction
From concave to bright convex smile

Veneers & Aesthetic Alignment
Midline correction with refined tooth color

Smile Transformation
A smile that reflects new confidence

Full Smile Veneers
Comprehensive shape correction, brightness lift, natural proportioning

Cosmetic Veneers
Chip repair, edge refinement, smoother symmetry and shade harmony

Upper Veneers
Enhanced whiteness, refined contours, seamless smile line improvement

E-max Veneers
Ultra-natural translucency with lifelike texture and high-precision fit

Clear Aligner Transformation
Straighter alignment with a cleaner, more balanced smile

Clear Aligners
Improved tooth positioning for a smoother, more even smile line

Orthodontic Refinement
Enhanced symmetry and alignment with a natural-looking finish

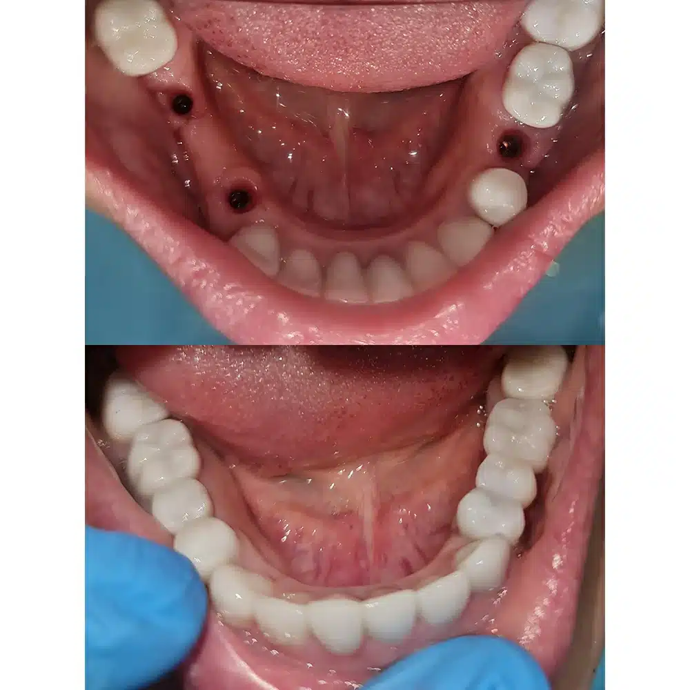
Dental Implant Restoration
Replacing missing teeth with stable, natural-looking support

Implant Smile Rehabilitation
Functional tooth replacement with improved smile continuity

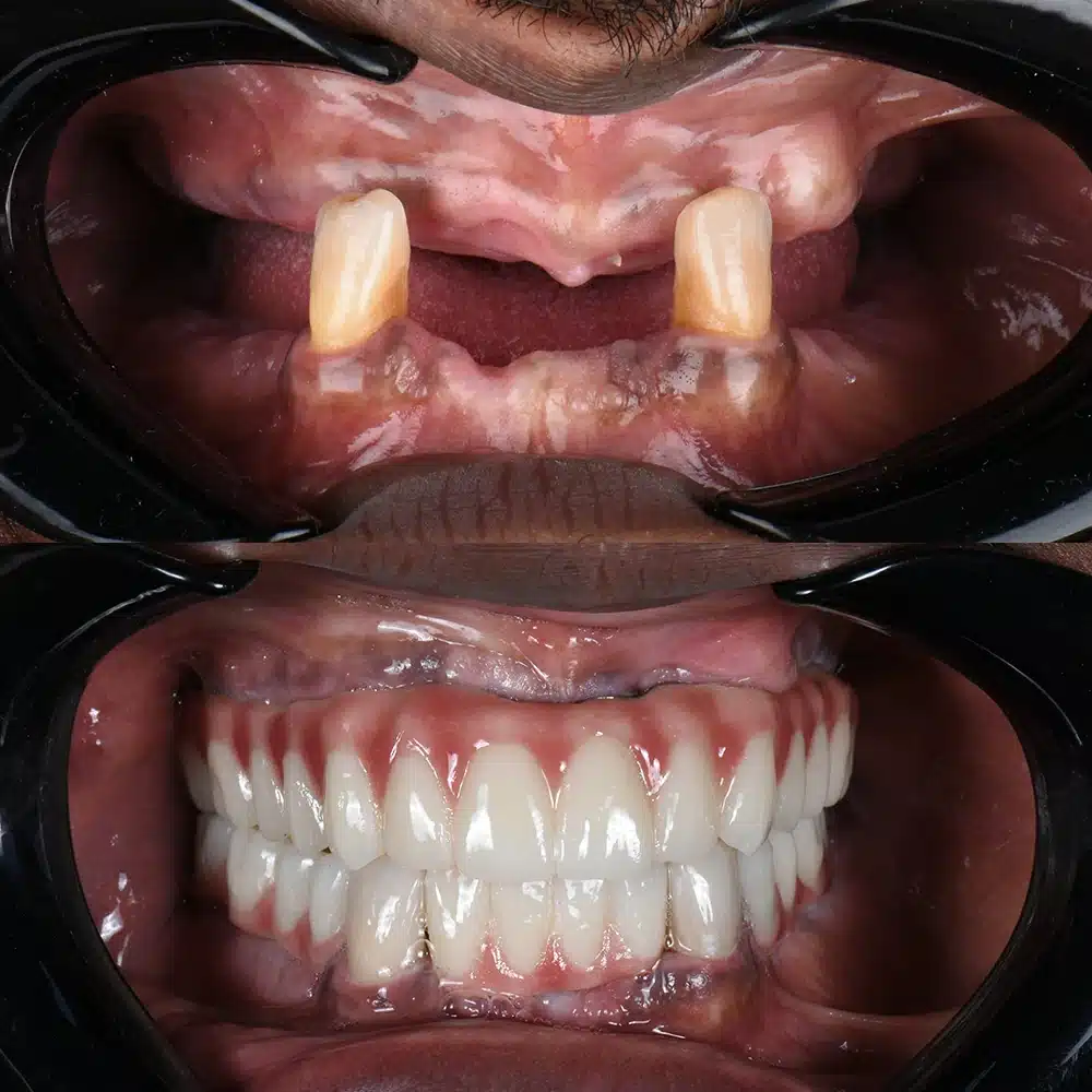
Full Implant Support
Rebuilding strength, aesthetics, and everyday comfort

Dental Implant Renewal
Closing gaps with a seamless and confident smile restoration

Implant Smile Restoration
Natural integration of missing teeth for balanced aesthetics

Implant Case Restoration
Re-establishing smile structure with stable implant support

Dental Implant Reconstruction
Restoring missing teeth with harmony, function, and confidence

Implant Aesthetic Restoration
Improved smile completeness with durable implant precision

Aesthetic Implant Restoration
Durable implant precision

Aesthetic Implant Restoration
Durable implant precision

Aesthetic Implant Restoration
Durable implant precision

Aesthetic Implant Restoration
Durable implant precision

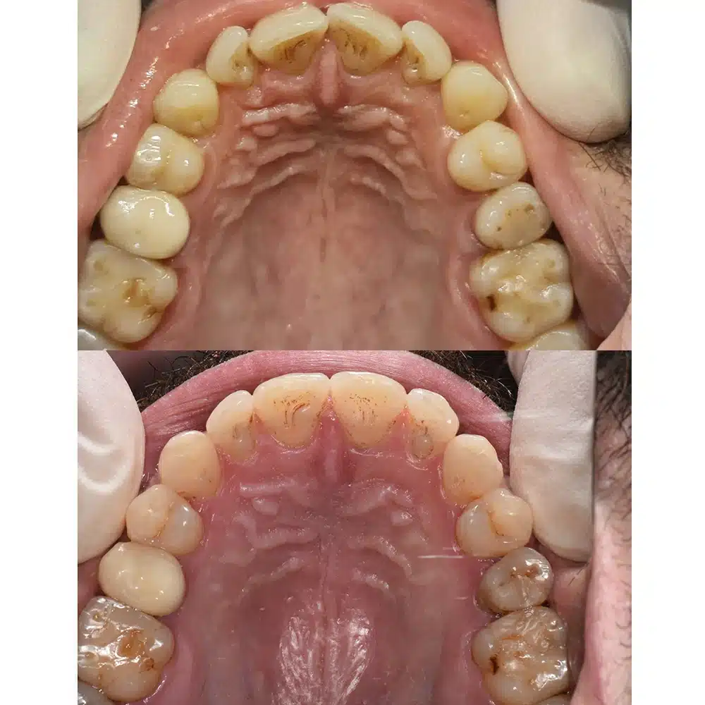
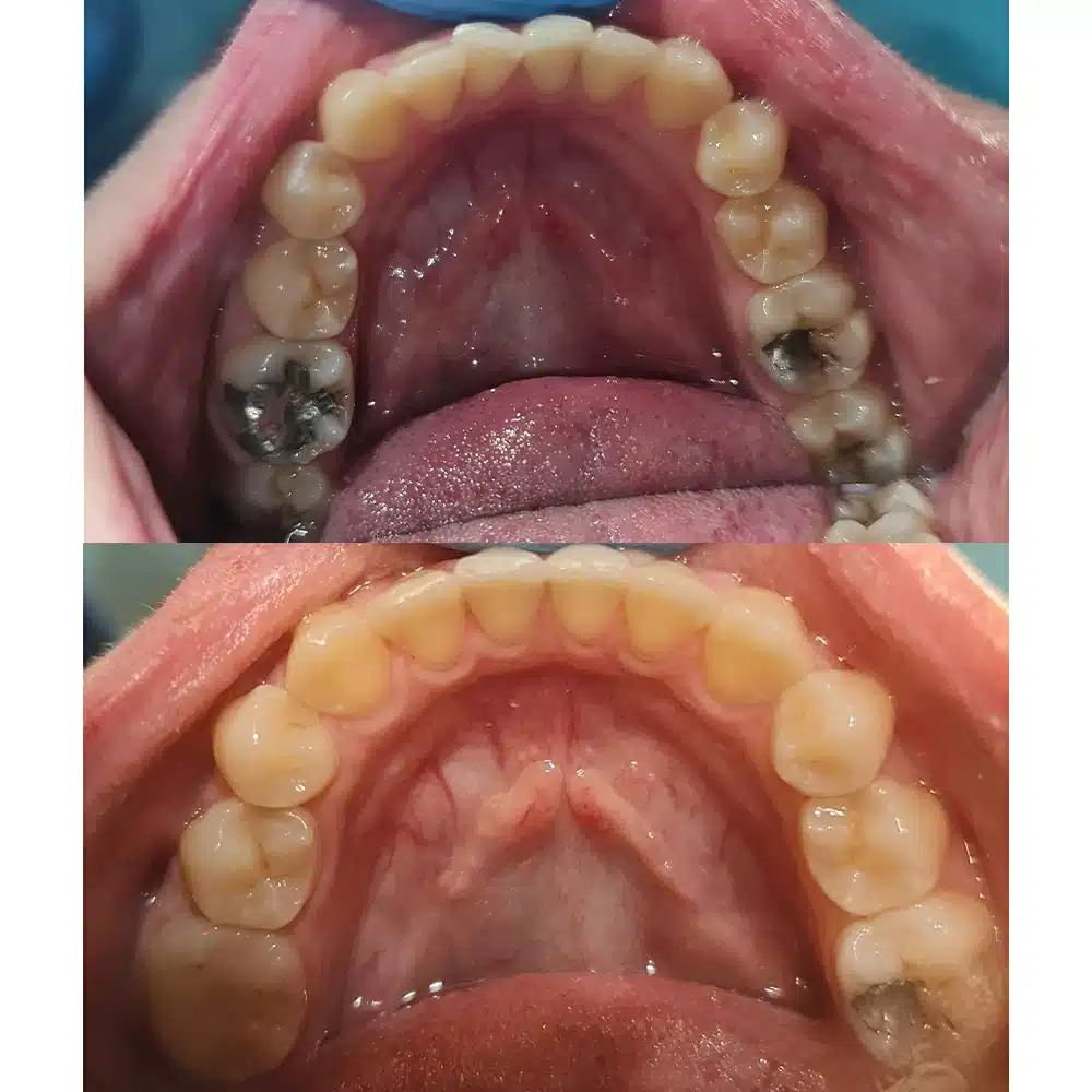
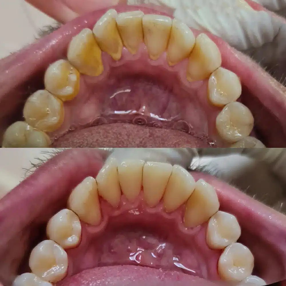
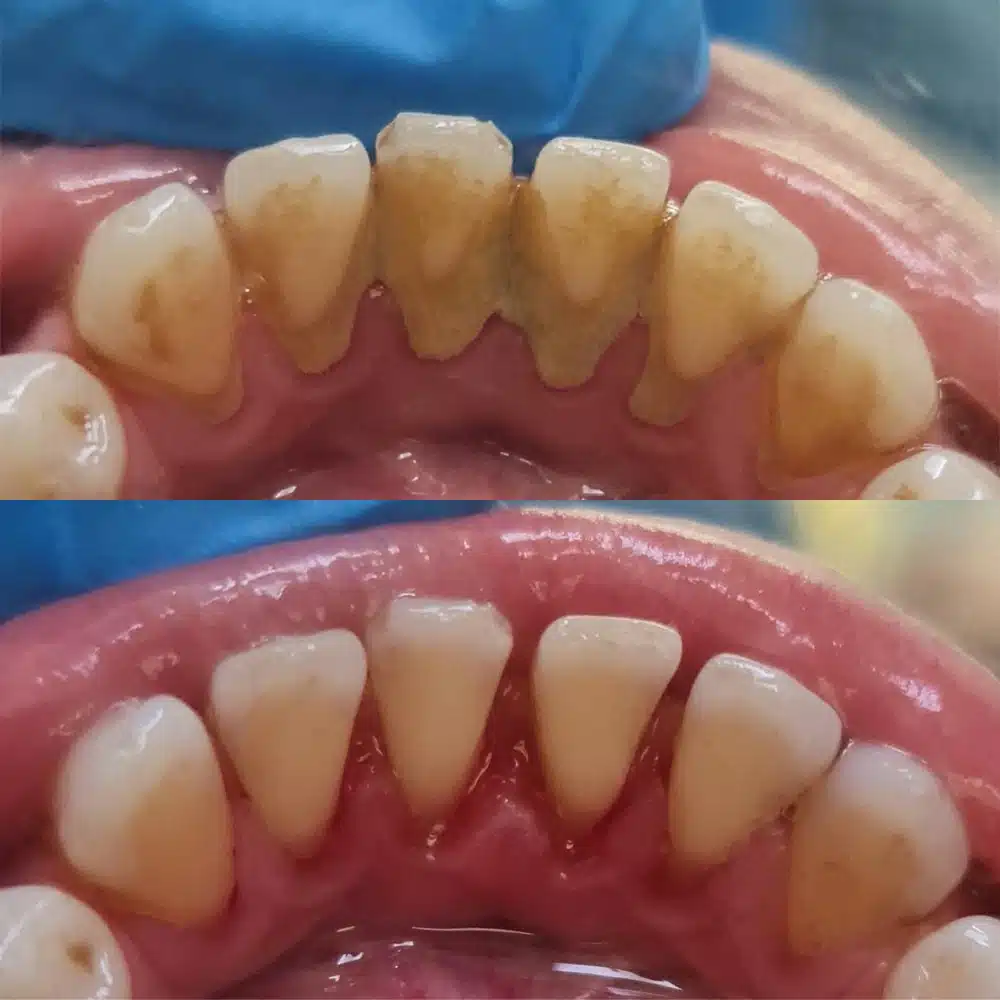
Restorative Composite Bonding
Repairing damaged teeth with smooth shape and shade refinement

Case 1

Case 2

Case 3

Case 4

Case 5

Case 6

Case 7

Case 8

Case 9

Case 10

Case 11

Case 12

Case 13

Case 14

Case 15

Case 16

Case 17

Single Dental Implant
Restoring missing teeth with harmony, function, and confidence
Our Case Studies
Featured Video Case Studies
Explore real video case studies showcasing patient journeys, treatment outcomes, and expert care in action—highlighting the precision, trust, and results behind every case.
Real Smiles, Real Stories
From life-changing implants to natural smile makeovers, hear from patients who trusted Dr. Nidhal with their smiles.














Testimonials
Recognition & Patient Testimonials
A showcase of genuine patient experiences reflecting Dr. Nidhal’s exceptional care, precision, and compassion — testimonials that celebrate trust, comfort, and transformative results.
“I came terrified. I left smiling.”
Yousef A
Marketing Manager
His precision is matched only by his kindness.
Lina K
Company CEO
“Dr. Nidhal made me believe that dental care could feel luxurious.”
Ahmad S.
High School Student
Your Story
Submit Your Recovery Story
Share your experience with Dr. Nidhal Sultan and inspire others on their journey to confident, comfortable dental care. Your recovery story helps future patients feel informed, reassured, and empowered.